
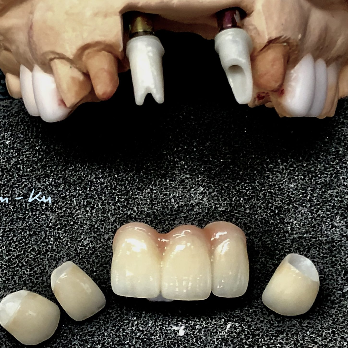
We like to restore implants to the highest standard. We offer a wide range of dental implants solutions. We use Exocad software to design and create a solution that is created to fit your patient’s individual needs.
We are offering:
Screw Retained Crown & Bridge Solution
- Zirconia Screw retained Crown & Bridge
- IPS e.max Screw retained Crown& Bridge
- Titanium Screw retained Crown & Bridge
Cement Retained Crown & Bridge Solution
- Zirconia Custom Abutment and Zr Crown& Bridge
- Zirconia Custom Abutment and IPS e.max Crown& Bridge
- Titanium Custom Abutment and PMB Crown & Bridge
Temporary Composite Screw retained Crown & Bridge
Implant Surgical Stents










